課題09

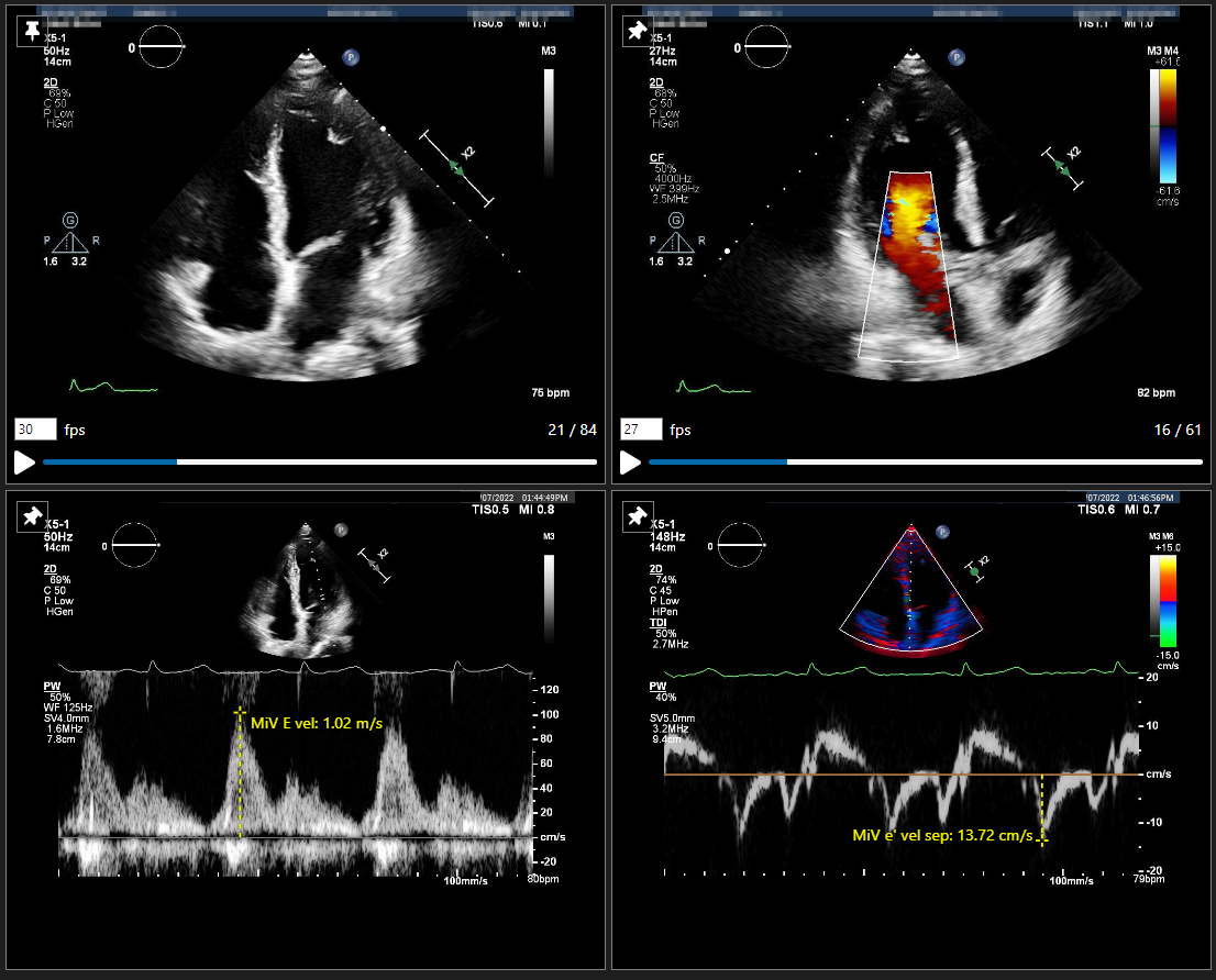
2D心エコーの解析を行いたい

こんな悩みを解決します!

  • AIを用いて心エコー画像を解析したい
  • EF、Strain (GLS )、ガイドラインに準拠したパラメータをまとめて解析したい
  • 複数ベンダーの心エコー画像を1つのソフトウェアで解析したい

関連製品

循環器向けDICOM動画ネットワーク製品などのお問い合わせ、またカタログをダウンロード/ご請求いただけます

他の課題からソリューションを探す